
Nasza praktyka wyposażona jest cyfrowe systemy diagnostyki radiologicznej pacjentów. Przy każdym fotelu stomatologicznym znajduje się rentgen punktowy z systemem radiowizjografii. Pozwala to na wykonywanie cyfrowych zdjęć bezpośrednio podczas zabiegu, bez potrzeby wychodzenia z gabinetu. Radiowizjografia cyfrowa (GENDEX, STERN WEBER) pozwala na natychmiastową kontrolę radiologiczną każdego etapu leczenia stomatologicznego: chirurgicznego, implantologicznego, protetycznego, endodontyczengo…
Dysponujemy również aparaturą pozwalającą na cyfrowe obrazowanie następujących rodzajów zdjęć:
• tomograficznych 3D (CBCT)
• ortopantomograficznych (panoramicznych)
• tomograficznych stawów skroniowo-żuchwowych (CBCT)
• tomograficznych zatok szczękowych (CBCT)
Zaletą cyfrowych systemów radiologicznych stosowanych w naszej praktyce jest redukcja dawki promieniowania aż do 90% w porównaniu ze zdjęciami wykonanymi metodą klasyczną (z zastosowaniem kliszy rentgenowskiej).
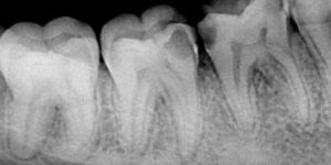
RVG (radiowizjografia) umożliwia wykonywanie ,bez ryzyka, wielu zdjęć wszystkim pacjentom, łącznie z dziećmi. Obraz jest rejestrowany przez specjalny elektroniczny czujnik o niewielkich rozmiarach, który jest umieszczany w jamie ustnej pacjenta w specjalnym trzymadełku. Dzięki wyeliminowaniu kliszy RTG o dużych wymiarach i ostrych krawędziach znacznie łatwiej można wykonać wysokiej jakości zdjęcie u pacjentów z odruchem wymiotnym. Obraz uzyskiwany za pomocą RVG jest w formie cyfrowej, dzięki czemu można poddać go specjalistycznej analizie diagnostycznej, co było niemożliwe w przypadku klasycznych zdjęć RTG na kliszach. Analiza komputerowa umożliwia m.in. wykonanie bezpośrednio na zdjęciu pomiarów odległości, kątów, gęstości oraz płynną regulację parametrów ekspozycji zdjęcia (kolor, kontrast, jasność, nasycenie).
RTG ortopantomograficzne (pantomogram) umożliwia ocenę całego stanu uzębienia, łącznie ze stawami skroniowo-żuchwowymi oraz zatokami szczękowymi. Badanie to jest niezbędne do oceny stanu zębów pacjenta oraz do zaplanowania leczenia. Dzięki uwidocznieniu wszystkich zębów, wraz z strukturami sąsiadującymi, jest niezwykle cennym badaniem przesiewowym, umożliwiającym wczesne wykrycie zmian patologicznych w kościach szczęki i żuchwy, a także w stawach skroniowo-żuchwowych oraz w zatokach szczękowych. Zdjęcie RTG panoramiczne jest niezbędne do leczenia protetycznego, chirurgicznego, implantologicznego oraz ortodontycznego.
Tomografia komputerowa wiązki stożkowej (CBCT) Aparat został zaprojektowany specjalnie dla potrzeb diagnostycznych dentystów i chirurgów twarzowo-szczękowych. Urządzenie pozwala na szybką i niezawodną trójwymiarową analizę badanych struktur, szczególnie przydatną w planowaniu leczenia implantologicznego, chirurgicznego oraz weryfikacji leczenia endodontycznego. Trójwymiarowa prezentacja zatok szczękowych, stawów skroniowo –żuchwowych w istotny sposób zwiększa możliwości diagnostyczne w obrębie tych struktur anatomicznych. Tomografia komputerowa wiązki stożkowej (CBCT) tworzy rzeczywiste trójwymiarowe obrazy umożliwiające postawienie pewnej diagnozy i opracowanie planu leczenia. Krótki czas skanowania w połączeniu z szybką rekonstrukcją 3D pozwalają na niemal natychmiastowe przedstawienie wyników i zmniejszają znacznie czas poświęcony na badanie.
